Accueil B.Mol Gen Web
L'espace gazeux des végétaux
Hypocotyle de soja des restaurants chinois (Vigna radiata)


L'hypocotyle de soja a été choisi pour observer l'espace gazeux dans un organe aérien ordinaire c'est à dire sans adaptation particulière. Cet organe, siège d'une croissance due essentiellement à de l'élongation cellulaire est très utilisé dans les études physiologiques de la croissance cellulaire.

De simples coupes à main levée montrent la présence de méats aérifères dans les parenchymes cortical et médullaire.
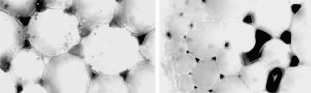
Hypocotyle de soja
Section transversale. Dans les parenchymes cortical et médullaire, au niveau de chaque intersection cellulaire, des méats triangulaires apparaissent colorés en noir. Cette coloration est due à la présence de gaz. Section longitudinale dans le parenchyme cortical. La section est suffisament épaisse pour permettre l'observation de plusieurs cellules en profondeur. Les espaces gazeux se trouvent dans les méats longitudinaux et également au niveau des extrémités cellulaires .
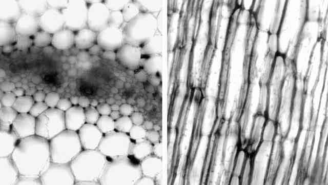
Hypocotyle de soja Détail de sections transversales
Détail de sections transversales. Dans certains cas (à droite), la section passe par une connexion reliant deux méats longitudinaux.
Séries de sections optiques réalisées dans une coupe longitudinale de parenchyme cortical d'hypocotyle de soja
Séries de sections optiques réalisées dans une coupe longitudinale de parenchyme cortical. Les photographies ont été contrastées afin de bien mettre en évidence les espaces gazeux.
Calques effectués à partir de ces sections.
Trois images de reconstitution spatiale du réseau d'espace gazeux. A gauche et au centre : superposition des calques précédents. A droite reconstitution tridimentionnelle d'une autre portion.
Reconstitution schématique d'un tissu formé de cellules polyédriques. Les images de droite font ressortir de manière idéale le réseau constitué par les méats.

Conclusion :

Le réseau constitué par les méats est pratiquement continu dans les parenchymes cortical et médullaire. Par endroit, il entoure complètement les cellules en remplissant les méats situés aux jonctions cellulaires. Il est beaucoup plus irrégulier à d'autres endroits.

Remarquons que ce réseau est bien mis en évidence dans les hypocotyles adultes. Quand ils sont très jeunes, les hypocotyles possèdent des méats "fermés" qui s'ouvriront progressivement lors de la croissance des cellules.

 

D'autres techniques permettent de visualiser autrement l'espace gazeux :

Voir aussi :

 


Haut de la page

 

Roger Prat
 
Pour nous contacter :

contact mail


Tous droits réservés - Biologie et Multimédia - Sorbonne Université - UFR des Sciences de la Vie