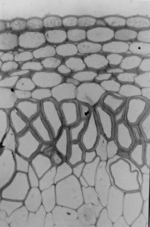
- Les fibres sont situées en périphérie des tissus
conducteurs de la tige, comme chez le lin, mais elles sont plus fortement
lignifiées. En conséquence, la dissolution des ciments
pectiques par rouissage est incomplète, les fibres ne sont pas
totalement dissociées et forment une étoupe grossière.
|
Coupe transversale d'une
tige de chanvre |
-
|
|
Coupe transversale de
tige de chanvre.
Les fibres ont une paroi plus épaisse
que les autres cellules.
|
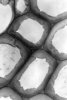
Faisceau de
fibres de chanvre en coupe transversale. Microscope électronique
à transmission (MET). |
|
Détail de l'épaisse
paroi d'une fibre de chanvre en coupe transversale.( MET). |

|