Accueil B.Mol Gen Web
La paroi primaire de la cellule végétale
 
Origine de la paroi cellulaire : la mitose
 

La paroi entoure toutes les cellules végétales. Lorsque la cellule se divise, c'est au moment de la télophase que se constitue la nouvelle paroi qui séparera les deux cellules filles. A l'équateur du fuseau, se rassemblent des vésicules d'origine golgienne qui constituent le phragmoplaste.
Télophase dans une cellule de racine de jacinthe
Télophase dans une cellule de racine de jacinthe, schéma
Télophase dans une cellule de racine de jacinthe.
Les vésicules se rejoignent et confluent au centre de la plaque équatoriale. Celle-ci s'étend de manière centripète jusqu'à la paroi ancienne.
Quatre étapes schématiques de la formation de la nouvelle paroi intercellulaire.
Quatre étapes schématiques de la formation de la nouvelle paroi intercellulaire.
 

A la fin du processus, la nouvelle paroi se soude aux parois longitudinales anciennes. Les membranes des vésicules golgiennes se sont différenciées et sont analogues à la membrane plasmique. L'ensemble de ces membranes se soude aux membranes latérales. Il reste par endroits des espaces qui constitueront les futurs plasmodesmes (communications intercellulaires entre les cellules filles). Cette première paroi commune aux deux cellules filles est appelée lamelle moyenne.

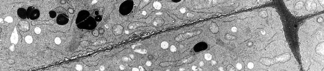
jeune paroi observée en microscopie électronique à transmission (MET)
Un exemple de jeune paroi observée en microscopie électronique à transmission (MET) après un test cytochimique des polysaccharides (sont contrastés : la paroi et l'amidon des plastes).
 

De nouvelles sécrétions de part et d'autre constitueront la paroi primaire propre à chacune des deux cellules.

Pour mieux comprendre :

Un autre dossier est consacré à la mitose (animale et végétale) :

 

[Haut de la page]

 
Roger PRAT, Michèle MOSINIAK, Jean-Claude ROLAND
 
Pour nous contacter :

contact mail


Tous droits réservés - Biologie et Multimédia - Sorbonne Université - UFR des Sciences de la Vie