Accueil B.Mol Gen Web
LA STRUCTURE DU CHLOROPLASTE 
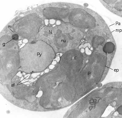
Le chloroplaste d'une algue rouge (Rhodophycées) : le Rhodella
Vue générale de Rhodella en MET
Schéma de Rhodella
Vue générale en MET. (Cliché : Christiane Lichtlé).
Schéma.

Le Rhodella présente un pyrénoïde intra plastidial. Cette structure n'existe que chez les Rhodophycées unicellulaires. Les réserves sont constituées d'amidon floridéen à localisation extra plastidiale.
Le chloroplaste est caractérisé par une enveloppe constituée d'une double membrane. Les thylacoïdes sont parallèles entre eux mais jamais accolés.

Les membranes des thylacoïdes assurent la photosynthèse grâce à la présence de divers pigments :

  • la chlorophylle a comme chez l'ensemble des végétaux photosynthétiques,
  • des pigments surnuméraires : les phycobiliprotéines. On distingue la phycoérythrine de couleur rouge (absorption des radiations vertes) et la phycocyanine de couleur bleue (absorption des radiations jaune-orangé).
Chez les Rhodophycées (algues rouges), c'est la la phycoérythrine qui est prépondérante et qui donne la couleur rouge à ces organismes. Toutes les Rhodophycées ne possèdent pas de phycocyanine.
Les phycobiliprotéines sont localisées à la surface des membranes des thylacoïdes dans des particules, les phycobilisomes.

Détail du plaste de Rhodella.
Détail du plaste. On observe de chaque côté des thylacoïdes de nombreux phycobilisomes.
(Cliché : Christiane Lichtlé).
Détail des thylacoïdes de Rhodella.
schéma interprétatif montrant les phycobilisomes
Détail des thylacoïdes et schéma interprétatif montrant les phycobilisomes à la surface des membranes des thylacoïdes.
(Cliché : Christiane Lichtlé).

Pour approfondir : les techniques d'étude, la structure des chloroplastes des algues, des plantes supérieures et leur différenciation.

 

 
 

 Roger Prat et Véronique Vonarx
Crédits photographiques : Christiane Lichtlé, laboratoire "Organismes photosynthétiques et environnement", ENS.
 
Pour nous contacter :

contact mail


Tous droits réservés - Biologie et Multimédia - Sorbonne Université - UFR des Sciences de la Vie