Exemple du Cryptomonas (Cryptophycées)
Cette algue unicellulaire possède un plaste constitué
de quatre membranes, des thylacoïdes associés par deux et
un pyrénoïde intra plastidial et des réserves constituées
d'amidon vrai intra plastidial.
| 
|
|
|
Vue générale
d'une cellule de Cryptomonas. Les
quatre zones encadrées dans le schéma (A, B, C,
D) sont détaillées dans les photographies suivantes.
(Cliché : Christiane Lichtlé) |
| |
|
| Détail
des thylacoïdes groupés par deux.
(Cliché : Christiane Lichtlé) |
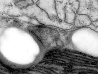
Enveloppe
nucléaire et enveloppe chloroplastique.
Le noyau est en bas.
(Cliché : Christiane Lichtlé) |
| |
|
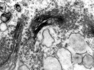
| Nucléomorphe
(au centre) entre les deux membranes internes
du chloroplaste (peu visibles) et les deux membranes externes.
(Cliché : Christiane Lichtlé) |
Appareil
de Golgi.
(Cliché : Christiane Lichtlé) |
L'enveloppe du chloroplaste est constituée de quatre membranes
dont la plus externe est en relation avec l'enveloppe nucléaire.
Entre les deux groupes de deux membranes, on trouve un noyau vestigial
: le nucléomorphe et des restes de cytoplasme. Ceci correspond
aux vestiges de la cellule photosynthétique qui a été
absorbèe par une deuxième cellule eucaryote. (endosymbiose
secondaire).
Pour approfondir : les techniques
d'étude, la structure des chloroplastes des
algues, des plantes supérieures et
leur différenciation.

|