Vous êtes sur ATP. Ce bandeau vous donne accès aux autres rubriques de Bmedia. Accueil
Biochimie 
et biologie moléculaire
Biologie 
du développement
Biologie cellulaire Zoologie Biologie végétale Physiologie végétale Informations sur le site Liens externes

 
Sans
ordinateur
RETOUR A LA PAGE D'ACCUEIL



Microbiologie
Biochimie
Biologie cellulaire
Génétique
Physiologie animale
Physiologie végétale
Evolution
Organismes modèles
Avec ordinateur
ExAO
Modèles moléculaires

Spermatogenèse chez le ver de terre

  • Introduction
Le ver de terre est un animal hermaphrodite et chaque individu comporte donc simultanément des gonades mâles et femelles. Chez les animaux sexuellement mûrs, les testicules libèrent dans la cavité cœlomique des cellules reproductices immatures, au stade de spermatogonies, qui achèvent leur maturation dans des organes spécialisés, les vésicules séminales. Les spermatozoïdes mûrs sont ensuite recueillis par un entonnoir et transportés vers l'extérieur par une paire de canaux déférents. En outre, les vers de terre possèdent des spermathèques, organes récepteurs du sperme qui stockent les spermatozoïdes entre l'accouplement et la ponte, la fécondation se produisant au moment de la formation du cocon de ponte.
Les cellules reproductrices du ver de terre peuvent être observées au microscope à différents stades de leur maturation en réalisant un frottis de vésicules séminales qui peut être coloré de différentes manières. 
  • Prélèvement des vésicules séminales
Chez la plupart des lombricidés de nos régions, il y a deux paires de testicules et trois paires de vésicules séminales, l'ensemble étant situé dans les cavités cœlomiques des métamères 9 à 12. Les testicules sont inclus dans deux sacs testiculaires, antérieur et postérieur, encore appelés vésicules séminales médianes. Les vésicules séminales sont accessibles par la dissection de la partie antérieure du ver.

Inciser la paroi du corps avec des ciseaux fins dans la région antérieure le long d’une ligne dorsale allant de la tête à l’arrière du clitellum et épingler les parois du corps après les avoir écartées. 
Les vésicules séminales sont situées juste en avant du jabot et sont facilement visibles en raison de leur taille (cliché ci-contre).
Prélever l'ensemble et le placer sur une lame porte-objet.
Dilacérer les vésicules séminales avec des ciseaux fins et éliminer les débris solides.
Réaliser un frottis en étalant le liquide sur la lame avec une lamelle placée à 45°.
Le frottis peut alors être coloré par n'importe quelle méthode, notamment par la technique utilisée pour colorer les frottis sanguins (variante rapide de la coloration de May-Grünwald Giemsa présentée à la page : "réalisation d'un frottis sanguin").
 


Dissection de la partie antérieure du ver
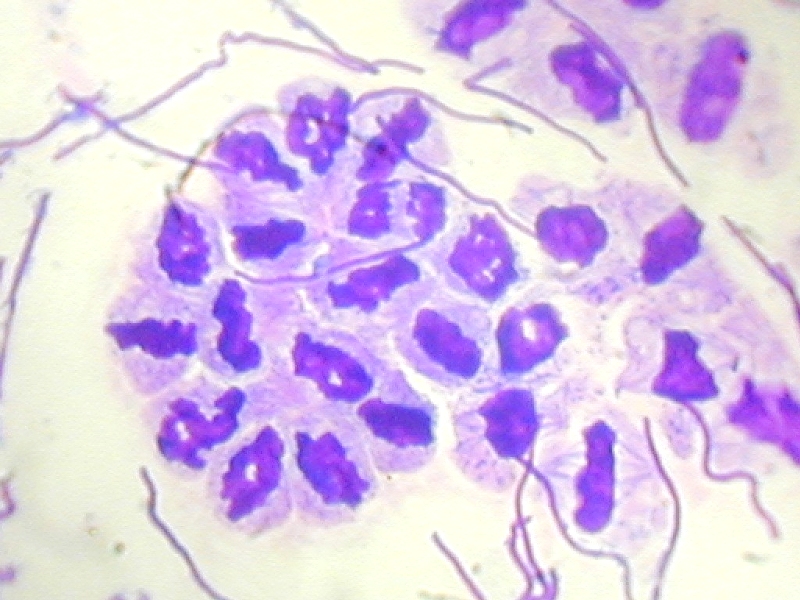
  •  Résultats
 
Cliquer sur l'image pour l'agrandir
Cliquer sur l'image pour l'agrandir
Quelques étapes de la spermatogenèse du lombric
(Coloration de May-Grünwald Giemsa, objectif à immersion x 1000)
Cliquer sur l'image pour l'agrandir
Cliquer sur l'image pour l'agrandir

Cliquer sur l'image pour l'agrandir
Spermatozoïdes de lombric
(Coloration de May-Grünwald Giemsa, objectif à immersion x 1000)
Page d'accueil de BMédia
Tous droits réservés
BMédia, 1999-2004
Contact :
Envoyer un courrier